19 febrero, 2021
- Filtrar por
- Categorias
- Tags
- Autores
- Mostrar todo
- Todo
- Aragon
- Biotecnología
- Convocatorias
- empresas
- Eventos
- Formación
- Investigación
- Noticias
- Salud
- Sin categorizar
- Uncategorized
- Zaragoza
- Todo
- ‘I Jornadas de Investigación e Innovación para Residentes en Aragón
- "Misiles de altísima precisión contra los tumores más malignos"
- 10 aniversario
- 10 años IIS Aragón
- 10º Aniversario IIS Aragón
- 10º Aniversario Radioterapia Intraoperatoria en Aragón
- 11 febrero
- 11F
- 18FDG-PET
- 2024
- 2025
- 2026
- 20º aniversario
- 23 de octubre
- 3D
- 4D Picture
- 4DPicture
- abemaciclib
- abril
- Academia de Farmacia Reino de Aragón
- academica numeraria
- accesibilidad
- Aceite de oliva
- acreditación
- actividad
- actividad cerebral
- actividad física
- acto de designación
- actualidad
- Actur Sur
- acuerdo
- ADC
- ADeNfermero
- ADN
- Adolescencia
- adolescentes
- adultos
- Advanced Grant
- AECC
- AECC Aragón
- AECC Zaragoza
- AECPAL
- Agencia Estatal de Investigación
- Agencia Sinc
- Agenda 2030
- Agilent
- agua
- agua embotellada
- Alba Gállego
- Alba Royo García
- Alberto Anel
- Alberto J. Schuhmacher
- Alberto Jiménez Schuhmacher
- ALBERTO JIMÉNEZ SCHUMACHER
- albertoj
- alcohol
- Alejandra González
- Alejandra González Loyola
- Alejandro Moda
- Alergia
- Alex Gutiérrez Dalmau
- Algoritmo
- alimentación
- alimentos
- ALMIA
- Almudévar
- Alteraciones
- alucenógenos
- Alzheimer
- alzhéimer
- Amac Gema
- ámbito académico
- ámbito cultural
- ámbito empresarial
- ámbito sanitario
- AME
- AMIB
- Ana Castillo
- Ana Isabel Cisneros
- Ana Serrano
- análisis
- análisis de sangre
- análisis genéticos
- análisis proteómico
- análisis sangre
- analítica
- Analizar
- ANCAP
- Anestesia
- Ángel Borque
- Ángel Lanas
- Animal Research Day
- animales
- Anisakis
- anónima
- ansiedad
- antecedentes familiares
- antibiótico
- antibióticos
- anticoagulantes
- Anticuerpofármaco
- antitumoral
- Antonio
- Antonio Antón
- Antonio Antón Torres
- Antonio Lobo Satué
- aplicación
- Aplicaciones
- apnea del sueño
- Apnea obstructiva del sueño
- Apoptosis
- aportes científicos
- Apoyo grupos emergentes
- aprendizaje automático
- APSATUR Aragón
- apuestas
- apuestas deportivas
- AraBiotech
- Aragón
- Aragón Atención Primaria
- Aragón BIke Contra el Cáncer
- Aragón Hoy
- Aragón Investiga
- Aragon Investigo
- AraHealth
- ARAID
- ARCCA
- Archivos de Bronconeumología
- Ariel Ramírez
- arterias
- artritis
- artrosis
- ASAPME
- ASAPME Aragón
- ASEICA
- ASEM
- asistencia
- asistencia sanitaria
- Asma
- asma grave
- asociación
- Asociación Amoranza
- Asociación Aragonesa de Jugadores de Azar en Rehabilitación
- Asociación de familias TEAdir-Aragón
- Asociación Española Contra el Cáncer
- Asociación Española contra el Cáncer en Zaragoza
- Asociación Española de Endocrinología y Nutrición
- Asociación INVI
- Asociación para la Investigación del Cáncer de Pulmón en Mujeres
- Asociación Trail Solidaria el Pino
- Asociación Trasplantados de Córnea
- Asociaciones
- Aspanoa
- ASPHER
- ASPIRINA
- AstraZeneca
- Atades
- ATCA
- atención médica
- atención personalizada
- Atención Primaria
- atención sanitaria
- Athletic Club de Bilbao
- Audiovisual
- Auditorio de Zaragoza
- Aulas aragonesas
- autismo
- autoexploración
- Autonómica
- Avance
- avances
- Avances científicos
- AWHS
- Ayuda LAB AECC 2022
- ayudas
- ayudas a investigación
- Ayudas a la comunicación
- Ayudas AECC 2024
- Ayudas IIS Aragón 2023
- Ayudas IIS Aragón 2025
- ayudas posdoctorales
- ayudas predoctorales
- Ayuno intermitente
- Ayuntamiento
- Ayuntamiento Monzón
- Ayuntamieto Cariñena
- AZAJER
- B-Challenged
- B12
- bacteria
- bacterias
- bacterias intestinales
- bacterias resistentes
- Banco de Sangre y Tejidos
- Bárbara Marco
- Barcelona
- barrio del Arrabal
- base de datos clínica
- bases
- Beatriz Carpallo
- bebé zarandeado
- bebés
- Bebés prematuros
- Beca
- Beca Alejandro Moda
- Beca Alejandro Moda de Investigación
- Becas
- beneficiearios
- Beneficios
- Benéfico
- Beonchip
- BiblioPRO
- bienestar
- BigData
- Binaced
- Biobanco
- Biobanco del Sistema de Salud de Aragón
- bioética
- Biofabri
- biogénesis
- bioimpresión 3D
- Bioinformática
- Biología
- Biología Molecular del Cáncer
- biomarcadores
- biomedicina
- BioNTech.
- Biopsia virtual
- biosanitaria
- Biotecnología
- BitBrain
- Boegas Aragonesas
- boletín
- Borrelia
- BPSO
- BSICoS
- BSSA
- BTT
- BTT ASPANOA
- buenas prácticas
- Buenaventura
- CaixaForum
- Calatayud
- Calendario
- Calendario Pioneras
- Calendario Solidario
- calidad
- calidad asistencial
- calor
- camiseta
- Campo
- canal
- Cáncer
- Cancer
- cáncer aterosclerosis
- cáncer colorrectal
- cáncer de colon
- cáncer de cuello uterino
- cáncer de endometrio
- cáncer de hígado
- cancer de mama
- cáncer de mama
- cáncer de mama mascukino
- cáncer de mama masculino
- Cáncer de mama mestastásico
- cáncer de mama triple negativo
- cáncer de páncreas
- cáncer de próstata
- cáncer de pulmón
- cáncer de recto
- cáncer de tiroides
- cáncer estómago
- cáncer gástrico
- Cáncer genital femenino
- Cancer Heterogeneity and Inmunomics
- cáncer infantil
- Cancer infantil
- cáncer masculino
- cáncer metastásico
- cáncer páncreas
- cánceres infantiles
- Cancers
- candidaturas
- capacidades
- capítulos
- CAR-T
- carcinoma urotelial
- cardiopatías vasculares
- Cardiovascular
- Care4Diabetes
- Carlo Cervia-Hastler
- Carlos Martín
- Carlos Matute
- Carmen Diarte
- carne de pollo
- carne de vacuno
- carne roja
- Carrera
- Carrera de Empresas
- Carrera de la Mujer Monzón
- carrera solidaria
- CART
- CART-T
- CASEIB 2025
- cataratas
- Cátedra
- Cátedra Aspanoa
- Cátedra SAMCA
- catedráticos
- CDTI
- Cecilia Pesini
- cefalea
- CEIP Tío Jorge
- celebro
- Cell Death Differentiation
- Células
- celulas
- células beta
- células CAR-T
- Células tumorales
- cena
- Centinela Running 2024
- Centinela Running 2025
- Centro Comprometido con la Excelencia en Cuidados
- Centro de Investigación Biomédica de Aragón
- centro de salud
- Centro Joaquín Roncal
- Centro San Valero
- centros de investigación
- centros de salud
- CEOE
- cerebro
- CERTAMEN
- certificación QOPI
- Cesar de la Fuente
- Charlas
- Chat GPT
- chips
- CIBA
- Ciber
- CIBERER
- Ciberobn
- CIC bioGUNE
- ciclismo
- ciclistas
- ciclo
- Ciclo Formativo de Divulgación
- Ciclofilina D
- Ciclosporina A
- cicloturista
- ciclsismo
- ciencia
- Ciencia abierta a la comunidad
- Ciencias Químicas
- científica
- Científico
- Cincuenta mil ojos
- Cintífico
- cirugía
- cirujanas
- Claudia Pérez
- Claudia Pérez Fornies
- Clementa Soria
- clima
- Clínic-IDIBAPS
- Clústeres salud
- CNIC
- CNIO
- CNRS
- Cohore IMPaCT
- Cohorte Impact
- colaboración
- Colegio Oficial de Enfermería de Zaragoza
- colesterol
- Colonoscopia
- colorante
- comida solidaria
- Comisión de Investigación e Innovación del Sector II
- Comisión de la Trombosis
- Comisionado PERTE Salud de Vanguardia
- Comité Científico Externo
- comité nobel de química
- Comunicación
- Comunicaciones Científicas
- comunidad
- Comunidad de Trabajo de los Pirineos
- comunidades autónomas
- Con Salud
- Concepción De La Cámara
- Concha Junquera
- concienciación
- Concurso
- Conferencia Internacional sobre Comunicación en Salud
- Conferencias
- conferencias magistrales
- congreso
- Congreso de la Sociedad Española de Neurocirugía
- conócelas
- ConSalud.es
- Consorcio
- consulta sanitaria
- continuidad asistencial
- contra el cancer infantil
- contratación
- Contrato
- controles
- convenio
- Convocatoria
- convocatoria intramural
- coordinador
- Cope
- corazón
- CORDELIA
- coronavirus
- corredores
- covid
- covid persistente
- COVID-19
- COVID19
- CRA Bajo Martín
- crear
- CRG
- cribado visual
- Cristina Íñiguez
- Cristina Paules
- Cristina Paules Tejero
- CSIC
- Cuento
- cuestionario
- Cuida tu Diabetes
- curocirugía
- curso
- Curso de Periodismo Especializado de Alcañiz
- Curso investigación
- Cursos Extraordinarios de la Universidad de Zaragoza
- Daniel Orós
- Daniel Orós López
- David Baker
- David Fernández
- debates
- defensa tesis
- defensas
- Defensora de Zargoza
- demencia
- Demis Hassabis
- Departamento de Sanidad
- depresión
- derechos culturales
- desafíos
- Desarrollo
- Desarrollo de Nuevas Terapias
- desarrollo infantil
- desayuno
- Desayunos de diálogo
- desayunos ipIBA
- desconexión digital
- descubrimientos científicos
- Desert
- desigualdad de género
- desmineralización ósea
- desnutrición
- Detección
- detección precoz
- detención temprana
- deterioro cognitivo
- Día de la Mujer y la Niña en la Ciencia
- Día de la Seguridad del Paciente
- Día Internacional de la Mujer y la Niña en la Ciencia
- Día Internacional de la Mujer y Niña
- Día Internacional de la Mujer y Niña en la Ciencia
- Día Internacional de las Personas de Edad
- Día Internacional del Virus del Papiloma Humano
- Día Mundia del Cáncer de Pulmón
- día mundial
- Día Mundial Cáncer de Mama
- Día Mundial Cáncer Próstata
- Día Mundial contra el Cáncer
- Día Mundial Contra el Cáncer de Mama
- Día Mundial de la ELA
- Día Mundial de la Trombosis
- Día Mundial del Ictus
- dia mundial del parkinson
- Día Mundial Ensayos Clínicos
- Día mundial prevención suicidio
- diabetes
- diabetes gestacional
- diagnóstico
- diágnostico
- Diagnóstico genético
- Diagnóstico precoz
- diagnóstico temprano
- diagnósticos
- diálogo
- Diario de Teruel
- Diego Sánchez
- dieta
- Dieta mediterránea
- dietas
- difusión
- Digestivo
- dilema ético
- diplomas
- Dirección General de Cuidados y Humanización
- Director Científico
- discapacidad
- Diseño
- disfagia
- Dislipemias Primarias
- dispositivo
- Dive Medical
- Divulgación
- DNABEATS
- doble ataque
- documental
- Dolores Isla
- Dolores Isla Casado
- Dona Médula Aragón
- donación
- donación IIS Aragón
- donaciones de sangre
- Dr. Jesús Obón
- Dr. Salvador Baena
- Dra. Ana Cisneros
- dromedarios
- drones
- EATRIS
- EBERS
- EBERS Medical
- eClinicalMedicine
- ECODES
- edad
- edición
- Eduardo Ruiz Pesini
- educación
- educomunicación
- EEZ-CSIC
- efectos salud
- efectos secundarios
- Ejea de los Caballeros
- ejercicio
- ejercicio físico
- EJIC
- El Alto Aragón
- El Heraldo de Aragón
- el paciente protagonista
- El Periódico de Aragón
- El quinto humor
- ELA
- ELA ISS Aragón
- embarazo
- emoción
- emprendimiento
- EMPRESAS
- Encuentro de Jóvenes Investigadores en Cáncer (EJIC)
- Encuesta
- EndoCartoScope
- endometriosis
- Endoscopios
- Enero
- enfermedad
- enfermedad de Gaucher
- Enfermedad de Lyme
- enfermedad pulmonar obstructiva crónica
- enfermedades
- enfermedades articulares
- enfermedades autoinmunes
- enfermedades cardiovasculares
- Enfermedades congénitas
- enfermedades coronarias
- Enfermedades Infecciosas
- enfermedades neurodegenerativas
- Enfermedades neurogenerativas
- enfermedades neurológicas
- enfermedades neurovasculares
- enfermedades raras
- enfermeras
- enfermeras estomaterapeutas
- enfermería
- Engermería
- ensayo clínico
- ensayo QUIWI
- Ensayos Clínicos
- entrevista
- envejecimiento
- Epidemia
- epigenética
- equipo multidisciplinar
- equipos multidisciplinares
- ER+
- esclerosis lateral amiotrófica
- esclerosis múltiple
- Escritura
- Escualeno
- Escuela de Biología Celular y Molecular del Cáncer
- esferosomas
- ESIC
- Espacio
- Espacios
- españa
- espasticidad
- especialistas
- especie
- espectómetro
- Estíbaliz Tolosa
- estrategia
- estrategias
- Estructura facial
- estudio
- estudio científico
- estudio crianza
- estudio internacional
- estudio nutricional
- estudios
- EURODATA
- Europa
- europeo
- Eva Gálvez
- Eva López
- EvaluA GPS
- evaluación
- evaluación de resultados
- evento
- evento deportivo
- evento solidario
- eventos
- experiencia del paciente
- experiencia pacientes
- experiencias
- experimentación
- experimentación animal
- experimento
- Expertos
- Exposición
- extranjero
- eye tracking
- eye-tracking
- Facultad de Medicina
- Facultad de Medicina de la Universidad de Zaragoza
- fallecidos
- falsos positivos
- familias
- farmaceúticas
- farmacia
- Fármaco
- fármaco experimental
- fármacos
- Farmaindustria
- FarmaSonda App
- FARO
- Fase
- Fatiga Crónica
- FDA
- FECYT
- FEDER
- FEETEG
- Feliz año
- Feliz Navidad
- Feminismo
- FEPS
- fibriación auricular
- financiación
- firma
- FISABIO
- FÍSICA
- fisioterapia
- Fondos Next Generation
- For Women in Science
- Formación
- Formación Profesional
- Formaciones
- formulario
- Foro
- Foro Aragonés de Pacientes
- Fortalece
- Fotografía
- fototérmica
- FP
- FRACTAL
- Fruta
- función motora
- Fundación APE
- Fundación Cris contra el cáncer
- Fundación Cuenca Villoro
- Fundación ECO
- Fundación Follereau
- Fundación Ibercaja
- Fundación la Caixa
- Fundación Manantial
- Fundación Nudos
- futuro
- futuro de la medicina
- Gaceta de Salud
- Gaceta Médica
- GAIAP
- Gala
- galardón
- GAMBL-HID
- GAMBL-OUT
- ganadores
- GastricAITool
- Gatekeeper
- Gatrostomía
- GEIS
- gemelo digital inteligente
- gen
- Gen ESR1
- gen PAH
- genes
- Genética
- genética clínica
- genoma
- genómica funcional
- GENUD
- Georffrey Hinton
- Gerardo Rodríguez
- gestión clínica
- Gestión sanitaria
- gestor de datos
- GICID
- GIIS002
- GIIS003
- GIIS004
- GIIS006
- GIIS007
- GIIS008
- GIIS009
- GIIS011
- GIIS012
- GIIS014
- GIIS017
- GIIS018
- GIIS019
- GIIS020
- GIIS022
- GIIS023
- GIIS024
- GIIS025
- GIIS026
- GIIS027
- GIIS028
- GIIS029
- GIIS030
- GIIS032
- GIIS033
- GIIS034
- GIIS035
- GIIS037
- GIIS039
- GIIS040
- GIIS041
- GIIS042
- GIIS043
- GIIS045
- GIIS047
- GIIS048
- GIIS049
- GIIS050
- GIIS052
- GIIS053
- GIIS054
- GIIS055
- GIIS057
- GIIS059
- GIIS060
- GIIS061
- GIIS062
- GIIS063
- GIIS064
- GIIS065
- GIIS066
- GIIS067
- GIIS068
- GIIS069
- GIIS070
- GIIS071
- GIIS071-Grupo de Urología
- GIIS072
- GIIS073
- GIIS073-Grupo de Investigación en Nefrología y Trasplante Renal (GINETE)
- GIIS074
- GIIS075
- GIIS076
- GIIS077
- GIIS078
- GIIS079
- GIIS080
- GIIS081
- GIIS082
- GIIS083
- GIIS084
- GIIS085
- GIIS086
- GIIS087
- GIIS090
- GIIS092
- GIIS093
- GIIS094
- GIIS095
- GIIS096
- GIIS097
- GIIS098
- GIIS100
- GIIS105
- GIIS106
- GIIS110
- GIIS777
- GIIS999
- GIISA001
- GIISA003
- GIISA005
- GIISA006
- GIISA008
- GIISA009
- GIISA010
- GIISA011
- GIISA012
- GIISA013
- GIISA014
- GIISA015
- GIISA016
- GIISA017
- GIISA018
- GIISA019
- GIISA020
- GIISA021
- GIISA022
- GIISA023
- GIISA024
- GILEAD Oncology
- GIMSO
- ginecología
- GISS000
- Glaucoma
- gliobastoma
- glioblastoma
- glioma difuso de tronco
- gliomas
- glucosa
- Gobierno de Aragón
- Gracia Mendoza Cantos
- Gran Via
- grasa
- gratuita
- gratuito
- grave
- gripe
- Gripo Español de Oncología Genitourinaria
- GRISSA
- Grupo Aragonés de Investigación en Atención Primaria
- Grupo Aragonés de Investigación en Atención Primaria (GAIAP)
- grupo aragonés de investigación en salud mental en atención primaria
- Grupo de Investigación en Neurociencias
- Grupo de Investigación en Salud Mental
- grupo de investigación en salud mental del Instituto de Investigación Sanitaria de Aragón
- Grupo de Investigación en Salud Mental en Atención Primaria
- Grupo de Investigación Enfermera en procesos de final de vida
- Grupo de Investigación Feminización y Ética de las Profesiones Sanitarias
- Grupo de investigación precision medicine in respiratory diseases (PRES)
- Grupo de Metabolismo y Células Madre Tumorales
- Grupo de Oncología Molecular
- grupo GENUD
- grupo Nature
- Grupo Oncología Molecular
- Grupo Saica
- Grupo San Valero
- grupos
- Guía de recomendaciones de buenas prácticas para el fomento de la investigación clínica en Atención Primaria
- Guías de Buenas Prácticas
- hallazgo
- Harvard
- heces
- Helicobacter pylori
- Hematología
- hemorroides
- Hemoterapia
- HER2-
- Heraldo
- Heraldo de Aragón
- héroe científico
- heroínas de los sitios
- hidratación
- hígado
- hígado graso
- hijos
- hipertensión
- hipótesis
- hitos
- hombres
- homenaje
- hongos
- HorIISA
- Horizonte Europa
- Hospital
- Hospital Clínico Lozano Blesa
- hospital clínico universitario
- Hospital Clínico Universitario Lozano Blesa
- Hospital de Día
- hospital infantil servet de zaragoza
- Hospital Materno Infantil Miguel Servet
- Hospital Miguel Servet
- Hospital Obispo Polanco
- Hospital Universitario de Canarias
- Hospital Universitario de Lannemezan
- Hospital Universitario de Zúrich
- Hospital Universitario Materno Infantil Miguel Servet
- Hospital Universitario Miguel Servet
- Hospital Universitario Miguel Servet de Zaragoza
- Hospital West China
- hospitalización
- Hoy Aragón
- HRS4R
- hucha digital
- Huesca
- Humanización
- Humanización en Cáncer de mama
- Humanizar
- Humanizar y Cuidar por Aragón
- HUMS
- I+D+I
- I3A
- I3A Unizar
- I3C
- ia
- IACS
- IASS
- Ibercaja
- ICCH 2024
- ICoMICS
- Ictus
- ictus isquémico
- IES Miguel Catalán
- Ignacio Ochoa Garrido
- igualdad de género
- iHealthy
- II Jornadas del Centro Español de Cuidados Basados en la Evidencia en Aragón
- III ipIBA Day
- III Jornada de Bioinformática
- III Jornada Humanización Cáncer de mama
- III Jornadas de Actualización en Investigación e Innovación
- IIS Aragón
- IIS ARAGON
- iisaragon
- ilustraciones científicas
- IMIBIC
- imlunestrant
- ImpaCT-GENóMICA
- Iñaki Ochoa
- inauguración de la jornada de excelencia de buenas prácticas
- Inés Mármol
- Inés Marmol
- inestigación
- infancia
- infarto
- infarto de miocardio
- infección
- infecciones
- Infecciones de transmisión sexual
- inflamación
- influencia a
- Informática
- Infraestructura
- Ingeniería
- Ingeniería Biomédica
- ingenieros
- iniciativa
- iniciativa europea
- INJUVE
- INMA
- Inmunidad
- inmunología
- inmunoterapia
- innovación
- innovador proyectos
- inscripción
- inscripciones
- instituciones
- Instituto Aragonés de Ciencias de la Salud
- Instituto Aragonés de Servicios Sociales
- Instituto de Bioingeniería de Cataluña
- Instituto de Investigación contra la Leucemia Josep Carreras
- Instituto de Investigación del Cáncer de Londres
- Instituto de Investigación en Ingeniería de Aragón (I3A)
- Instituto de Investigación Sanitaria Aragón
- Instituto de Nanociencia y Materiales de Aragón
- Instituto de Neurociencias de Alicante
- Instituto de Salud Carlos III
- Instituto Tecnológico de Aragón
- Institutos de Investigación Sanitaria
- insuficiencia cardiaca
- insulina
- inteligencia artificial
- interdisciplinar
- internacio
- Internacional
- internalización
- intervención clínica
- Intestino
- Intramural
- inversión
- investigación
- investigacion
- investigación alternativa
- investigación aragonesa
- Investigación Cáncer
- investigación cerebral
- investigación científica
- Investigación Clínica
- Investigación en cancer
- investigación en oncología pediátrica
- Investigación farmacológica
- investigación hospitalaria7investigación biosanitaria
- investigación oncológica
- investigación pionera
- INVESTIGACIÓN SANITARIA
- investigación sanitaria
- investigador
- investigador ARAID
- investigador principal
- investigadora
- investigadoras
- Investigadores
- investigadores predoctorales
- INVI
- IP
- ipiba
- ipIBA Day
- IRB Barcelona
- Irene Serrano
- IrsiCaixa
- iSanidad
- ISCiii
- Isidro Arévalo
- ISS Aragón
- ISSA
- Istituto Lombardo Accademia di Science et Lettere
- ITA
- ITEMAS
- ITS
- Itziar Lamiquiz
- IV Edición
- IV Jornadas de Actualización en Investigación e Innovación
- Jacobo Ayesa
- Javier Campillo
- Javier García Campayo
- Javier García-Campayo
- Javier Marta
- Javier Ormazábal
- Jesús Ciriza Atrain
- Jesús de la Osada
- Jesús González
- Jesús Martín
- Jesús Santamaría
- jet lag
- jet lag solar
- John Hopfield
- John Jumper
- Johnson & Johnson
- Jorge Murillo
- Jorge Osma López
- Jorge Rubio Gracia
- jornada
- Jornada científica
- jornada de clausura
- Jornada de Investigación Clínica en Atención Primaria
- Jornada de Terapias Avanzadas
- Jornada Investigación e Innovación
- Jornada Open Science
- Jornada Paciente y Residente
- jornadas
- Jornadas anuales REGIC
- José Antonio Casajús
- José Antonio Casasnovas Lenguas
- José Antonio Mayoral
- José Baselga
- José Ignacio Castaño
- josé javier garcía campayo
- José Luis Bancalero
- José M. Marín
- José Manuel García Aznar
- José María Marín
- José Miguel Cisneros
- José Ramón Paño-Pardo
- Jóvenes
- jóvenes investigadores
- jóvenes investigadores aragoneses
- Juan Olivenza
- Juan Pié Juste
- juego
- juego al aire libre
- juego de apuestas
- Julia Ocón
- Julián Pardo
- Julián Pardo Jimeno
- junio
- Juntos Venceremos ELA
- l Servicio de Hematología y Hemoterapia del Servet
- L'Oréal
- La ciencia se sienta a la mesa
- La Mimosa
- La voz del usuario
- LAA
- Laboral
- laboratorio
- Laboratorio de Oncología Molecular del Instituto de Investigación Sanitaria Aragón
- Laboratorios
- Laclaustra
- lactancia
- lactoferrina
- LAGENBIO
- Laura Díez
- Laura Usón
- leche
- lentes
- lepra
- Leticia De Mattos-Arruda
- Leucemia
- libro
- Limipulse G
- linfocitos T
- Linfomas
- lipoproteínas
- Lleida
- Long Covid
- lotería
- lotería navidad
- LTβR
- LUBAC
- ludopatía
- Luis Alberto Anel Bernal
- Luis Alberto Moreno Aznar
- Luis Hijós
- Luis Moreno
- Luis Moreno Aznar
- Luis Pablo
- Lung Ambition Alliance
- lupus
- M2BE
- madres
- Madrid
- Maldi Imaging
- mapa genómico
- máquina molecular
- Maratón de Fútbol Sala
- Marcela Amestoy
- Marcha
- Marcha Contra el Cáncer
- Marcha contra el Cáncer de Zaragoza
- marcha popular
- María Guallart Valet
- María Pilar Astier-Peña
- María Sancho
- María Victoria Arruga
- Marimar Ecabo Berzosa
- Marisa de la Rica
- Màrius Soler
- Marta Baselga
- Marta Lalinde
- Marta Mascaraque
- Más Casa
- masa ósea
- Matemáticas
- Materiales Avanzados
- Maternal and Fetal Health research group
- Maternidad
- Maternidad y salud mental
- mayo
- Mayte Olave
- Me voy a casa
- MED4CHILD
- Medalla Justicia de Aragón
- medicación
- Medicina
- Medicina de Precisión
- Medicina de Precisión en Enfermedades Respiratorias
- medicina madres e hijos
- medicina personalizada
- Medicina regenerativa
- Medicine 2044
- Medición
- Médico
- médico de familia
- Médicos
- Médicos de familia
- Medio ambiente
- medioambiente
- medios
- Médula ósea
- meduloblastoma
- Mejor Reputación Sanitaria
- Mejora
- melanoma
- Meli-POP
- memoria
- MENARINI
- Mención de Honor
- menopausia
- Mes de Investigación e Innovación
- mesa
- mesa redonda
- mesas de debate
- metabólicas
- Metabolismo y Células Madre Tumorales
- metastasis
- metástasis
- metodología
- Metodología CIR
- micobacteria
- microARN
- microbianas
- microbiología
- microbioma
- microbiota
- microbiota intestinal
- Microfisiología
- micrometástasis
- microorganismos
- microvídeos
- Mielina
- mielomas
- Migración celular
- mindfulness
- MINDxYOU
- Ministerio de Ciencia e Innovación
- Ministerio de Sanidad
- mirada
- Modelo
- modelo óptimo
- modelo predictivo
- monopartículas
- Montserrat González Platas
- Monzón
- MP-010
- MTBVAC
- muerte
- muerte causa fuego
- muerte súbita
- muestras
- mujer
- Mujer rural
- mujeres
- Mujeres influyentes Aragón
- multidisciplinar
- músculos
- Museo de Huesca
- MUSIC
- mutaciones
- mutaciones resistentes
- Nacional
- nadador
- Nanoanticuerpos
- Nanobiomedicina
- nanodecidina
- nanoLyme
- nanopartículas
- nanotecnología
- Nature Communications
- Nature Genetics
- Navidad
- NEOLIVER
- neoplasias
- Nestlé Health Science
- Networking
- neuroblastoma
- Neurociencia
- neurociencias
- neurología
- neurólogo
- neurólogos
- Neuromodulación
- neuronas
- Neurooftalmología
- Neuropediatría
- NEXSKIN
- niñas
- niños
- niños con cáncer
- nivel de estrés
- Nobel
- Noche europea de los investigadores
- Noche Europea de los Investigadores e Investigadoras
- noticias
- noticias mensual
- Nueva terapia
- Nuevo
- número
- Nuria Val
- nutrición
- Nutrifag
- obesidad
- obesidad infantil
- Observatorio Europeo de Desiertos Rurales Alimentarios y de Ejercicio Físico
- Océano Atlántico
- Odin Visión
- oferta de empleo
- Oficina
- Oftalmología
- oftalmólogos
- Olga Abián
- OMS
- Oncohematología
- OncoInmunología
- oncología
- Oncología Molecular
- oncología pediátrica
- Oncopediatría
- Onda Cero
- One Helath
- One-Health
- OneChain Immunotherapeutics
- ONG Sumun
- online
- oportunidades
- óptica
- optometristas
- Organ On Chip
- organ-on-chip
- Organización Mundial de la Salud
- Organización Mundial de Médicos de Familia
- Organizaciones
- organoides
- Órganos
- órganos
- órganos bioartificiales
- Óscar López
- Óscar López Lorente
- otroevento
- Pablo Herrero Gallego
- Pablo Menéndez
- paciente
- Paciente en Ciencia
- paciente oncológico
- Paciente Protagonista
- pacientes
- pacientes oncológicos
- País Vasco
- Palacio de Exposiciones
- Palacio de la Alfajería
- páncreas
- pandemia
- Paola Herrera
- papiloma humano
- Para vivir mejor
- Paraninfo
- Paraninfo de la Universidad de Zaragoza
- Parásitos
- Parkinson
- párkinson
- Parque Goya
- participación ciudadana
- participación comunitaria
- participantes
- Partido Aspanoa
- Partido de Aspanoa
- partido solidario
- Parto
- Patio de la Infanta
- patología digestiva
- patología mitrocondrial
- patologías
- Patricia Sancho
- Patricia Sancho Andrés
- PatriciaS
- pediatras
- Pediatría
- Pedriatic Obesity
- Pedro Baptista
- pérdida de memoria
- personalidad
- personas mayores
- Pfizer
- piel
- Pilar De Miguel-Etayo
- Pilar Martín Duque
- Pioneras
- Placenta
- Plan Aragonés de Actividad Física para la Salud
- población
- población española
- POCTEFA
- podcast
- Podoactiva
- policías del cuerpo
- polimerasa
- ponencias
- ponentes
- potencial científico
- Potencial nutracéutico
- potencial terapeútico
- PPAR
- preadolescentes
- Precisión
- Predecir
- Predoctoral
- predoctorales
- preeclampsia
- preinscripción
- prematuridad
- Premio
- Premio a la Innovación Multidisciplinar
- Premio Aragonés del Año
- Premio Fundación Pfizer
- Premio Investigación y Futuro
- Premio nacional
- Premio Nobel
- Premios
- Premios a la Investigación
- Premios Aragón Salud 2025
- Premios Aula 2025
- Premios de Investigación e Innovación
- Premios Humanizar y Cuidar
- Premios Nacionales
- Premios Nacionales de Juventud
- Premios Nobel
- Premios Tercer Mileno
- PRES
- presencial
- presentación
- prevención
- prevención de enfermedades
- Privada
- problemas cardíacos
- problemas visuales
- proceso oncológico
- profesionales
- profesionales de la salud
- profesionales sanitarios
- Programa ALASS
- Programa de Prevención
- Programa Fortalece
- programa nacional
- promoción
- Propia
- propiedades medicinales
- Propuestas
- ProSalud mental
- Próstata
- Proteína
- proteínas
- proyecto
- proyecto AI4HealthyAging
- proyecto Amparo
- Proyecto Antonio
- proyecto CORALS
- proyecto de investigación
- proyecto europeo
- Proyecto Excelsiov
- proyecto global
- Proyecto Impulso con Aspanoa
- proyecto SAM
- Proyectos
- proyectos de investigación
- Prueba
- prueba ciclista
- Pruebas
- psicología
- psicosis
- psilocibina
- psiquiatría
- Psiquiatría de enlace
- Psiquitaría
- públi
- Pública
- publica
- publico
- Pueyo de Marcuello
- Pulmón
- Pulmones
- pulso cardiaco
- punción seca
- química
- quimiodinámica
- quimioterapia
- QUIRONSALUD
- RA-PAFIS
- Radio
- Rafael Continete
- Ramón Hurtado
- ranking Research.com
- Raquel Espílez
- ratones
- Real World Data
- Real Zaragoza
- realidad virtual
- Rebeca Sanz
- Rebeca Sanz Pamplona
- recaudación
- recomendaciones
- recuperación
- redes neuronales
- Redes Sociales
- referente
- regeneración cardiaca
- Regenerar
- REGIC
- REGICOR
- registro Holter
- relajación
- Relato
- Relato corto
- relatos
- remio M. Chiara Giorgetti
- Research.com
- resistencia antimicrobiana
- Resistiré
- respiratorio
- Respiratory Diseases
- Resultados
- resultados positivos
- retos
- Retratos con esperanza
- Revista
- revista Cell
- revista Cells
- revista Nature
- RICORS-SAMID
- riesgo
- riesgo cardiovascular
- riesgos
- Riñón
- risa
- RNA
- RNAO
- Roch Christian Johnson
- Roche
- Romareda
- rosa
- Rosa Magallón
- Rosario Osta
- RRHH
- RTDetective
- SAGG
- salón de actos
- Salud
- salud cardiovascular
- salud humana
- salud mental
- Salud ósea
- salud pública
- Salud reproductiva
- saludable
- SAMCA
- sangre
- sanidad
- Santander X Global Challenge
- Santiago Ramón y Cajal
- Sara
- Sara Malo Fumanal
- Sarcomas
- sarcopenia
- Satisfacción
- Science Advances
- Science for industry
- Science Media Centre
- Scienfy
- SEBBM
- SEBiBC
- SECPAL
- Sector II
- sector sanitario Zaragoza II
- Sector Sanitario Zaragoza III
- Sector Zaragoza III
- Seguimiento
- seguridad
- seguridad alimentaria
- Sello HR
- SEMAIS
- Semana de la Ciencia
- Semana Sin Humo
- semcient
- SEMDOR
- semFYC
- seminario
- seminario biomédico
- seminario científico
- seminarios ipIBA
- SENEC
- Servicio Aragonés de Salud
- Servicio de Hematología
- Servicio de Neurología
- Servicios Sanitarios
- sesión online
- SESMOcC
- SESMOoC
- Silicon Valley
- Simposio Internacional sobre OncoInmunología e Inmunoterapia del Cáncer
- Simposios
- SINC
- síndrome
- síndrome cardio-renal
- Síndrome de Cornelia de Lange
- Síndrome del bebé zarandeado
- Síndrome metabólico
- Síntomas
- sistema del complemento
- sistema inmunitario
- sistema sanitario
- Sistemade Salud
- sistemas públicos
- Sitios Zaragoza
- SMARTomicS
- sobrediagnóstico
- sobremedicalización
- Sociedad Española de Enfermería Nefrológica
- Sociedad Española de Neurociencia
- Sociedad Española de Neurología
- Sociedad Sociedad Aragonesa de Geriatría y Gerontología
- SOE2023
- Solidaria
- solidario
- Solip Park
- Somos raras pero existimos
- sonda gástrica
- Sonia Santos Lasaosa
- sorteo
- Spotify
- Starting Grant del Consejo Europeo de Investigación (ERC)
- startup
- Stop Gambling
- Stroke-Poc
- Subvenciones
- Sudor
- suicidio
- suplementos
- tabaco
- talleres
- Tarazona
- TCA
- TEA
- tecnología
- tecnologías no invasivas
- tejido ovárico
- Teletrabajo
- temperatura
- Temprana
- terapia
- terapia catalítica
- terapia combinada
- terapias
- Terapias Avanzadas
- terapias dirigidas
- Teruel
- test
- test de antígenos
- Test sanguíneo
- testimonios
- The Conversation
- The Lancet Regional Health - Europe
- The Move Men
- TheMoveMen
- Think Tank
- tipo 1
- Título Especialista en Neuromodulación
- TME Lab
- TMELab
- Toledo
- tomografía de coherencia óptica
- topología cerebral
- tortilla solidaria Cariñena
- trabajadores a turnos
- trabajo
- trabajo a turnos
- trabajo internacional
- Trail Solidaria de Binaced
- Trail Solidaria El Pino de Binaced
- transaminación
- transparencia
- trasplante
- Trasplante de órganos
- Trasplante renal
- trastorno autoinmunitario
- Trastorno del espectro del autismo
- trastornos alimenticios
- trastornos de la marcha
- Trastornos genéticos
- trastornos mentales
- tratamiento
- tratamiento farmacológico
- tratamiento nutricional
- tratamientos
- tratamientos oncológicos
- tratamientos psicológicos
- triglicéridos
- Tubercolisis
- tuberculosis
- tumor
- tumor cerebral
- tumores
- tumores cerebrales
- tumores genitourinarios
- UCI
- UCM
- UE
- UGR
- úlcera de Buruli
- UNED
- UNESCO
- Unidad de Hematología
- Unidad de Investigación Clínica
- Unidad de Investigación en Terapias Avanzadas
- unidad de oncohematología pediátrica
- Unidad de Oncología
- Unidad de Radiología Mamaria
- Unidad de Recursos de Investigación
- Unidad de Terapias Avanzadas de Aragón
- Unidad investigación traslacional
- Universidad Complutense de Madrid
- universidad de barcelona
- Universidad de Zaragoza
- Universidad del Pacífico
- Universidad Loyola
- Universidad McGill
- Universidad Nacional de Educación a Distancia
- Universidad Pública de Navarra
- Universidad San Jorge
- University College London
- UNIZAR
- Uro-Ongogu(IA)s
- Urología
- Urrea de Gaén
- V Convocatoria de Premios a Proyectos de Innovación
- V Curso sobre endometriosis
- V JORNADA BOARD
- vacuna
- vacuna tuberculosis
- vacunación
- ventilar
- Vicky Villaverde
- Victor Ambros Gary Ruvlun
- vida
- Vídeo
- vídeos
- VII Enncuentro de Jóvenes Investigadores
- VII Jornadas 'Promoción de la Salud Cardiovascular ¡Cuídate!'
- VIII Encuentro de Jóvenes Investigadores en el Extranjero
- Vino
- virus
- virus influenza
- visibilización
- visión
- VItamina D
- vocación
- voluntarios
- VPH-AR
- vuelta españa
- Webinar
- Workshop
- XI Foro Afectivo Efectivo
- XXI Congreso de la Sociedad Aragonesa de Calidad Asistencial
- XXIII Jornadas de Trabajo sobre Calidad en salud
- Yolanda López del Hoyo
- Youtube
- Zaragoza
- ZOOM
- zoonosis
- Zúrich
19 febrero, 2021
Publicado por iisaragon el 19 febrero, 2021
Categorias
Te gusta?
19 febrero, 2021
Publicado por iisaragon el 19 febrero, 2021
Categorias
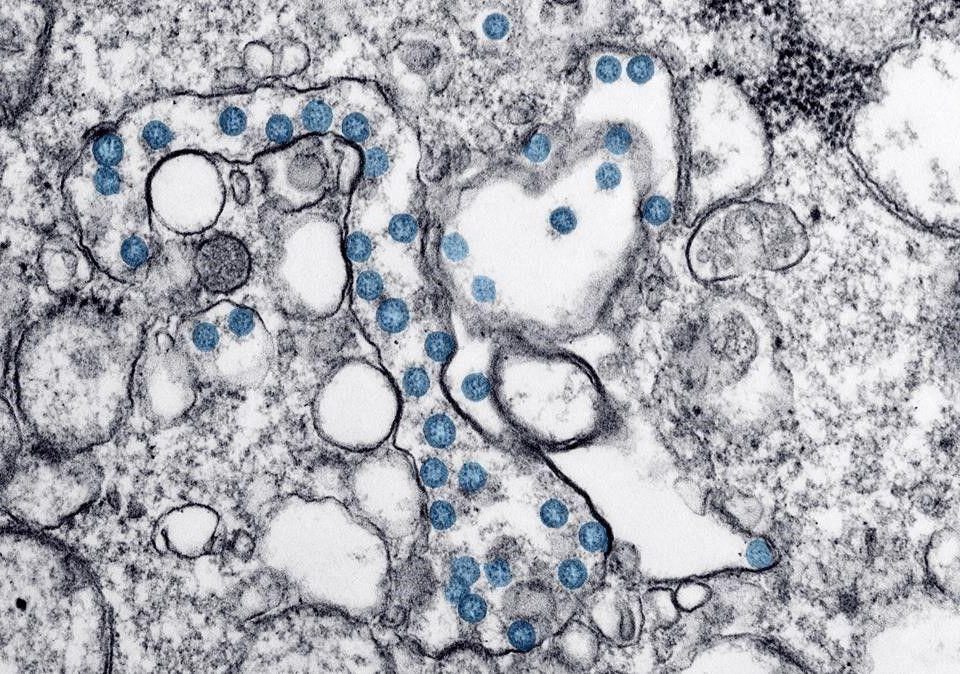
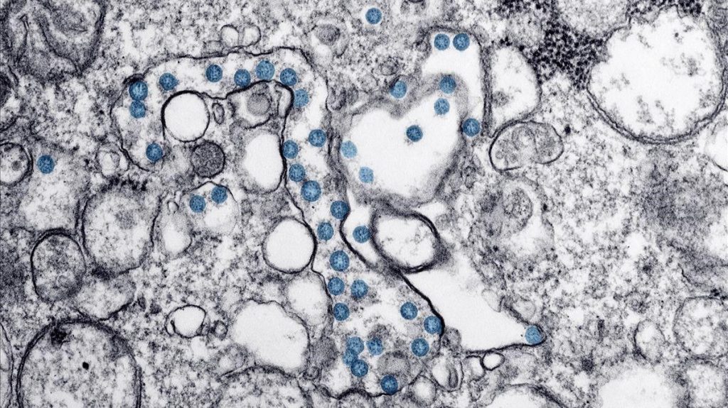
Certest desarrollará una vacuna propia contra la covid: «Es un avance que puede posicionar a Aragón»
Te gusta?
17 febrero, 2021
Publicado por iisaragon el 17 febrero, 2021
Categorias
Te gusta?
16 febrero, 2021
Publicado por iisaragon el 16 febrero, 2021
Categorias
Te gusta?
16 febrero, 2021
Publicado por iisaragon el 16 febrero, 2021
Categorias
Te gusta?
15 febrero, 2021
Publicado por iisaragon el 15 febrero, 2021
Categorias
Te gusta?
15 febrero, 2021
Publicado por iisaragon el 15 febrero, 2021
Categorias
Te gusta?
12 febrero, 2021
Publicado por iisaragon el 12 febrero, 2021
Categorias
Te gusta?
Anterior
123456789101112131415161718192021222324252627282930313233343536373839404142434445464748495051525354555657585960616263646566676869707172737475767778798081828384858687888990919293949596979899100101102103104105106107108109110111112113114115116117118119120121122123124125126127128129130131132133134135136137138139140141142143144145146147148149150151152153154155156157158159160161162163164165166167168
Siguiente








