
Zaragoza, escenario de un estudio premiado sobre los riesgos de la obesidad infantil
16 febrero, 2021
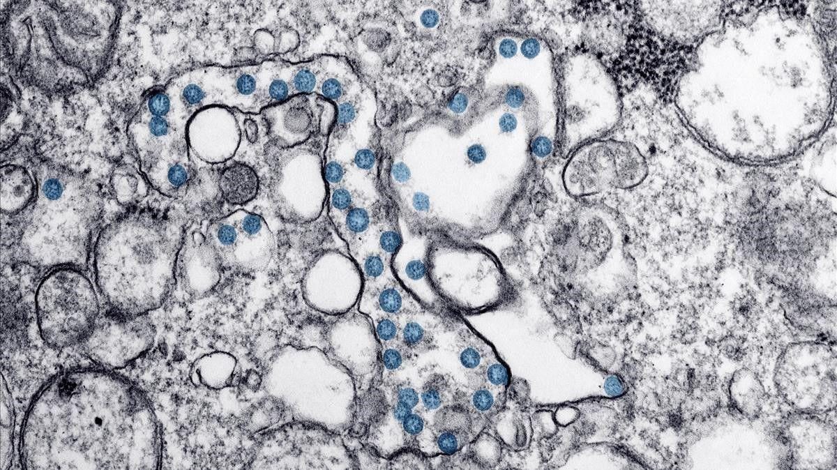
El SARS-CoV-2 utiliza el sistema inmune para multiplicarse por el organismo, según un estudio
17 febrero, 2021Se basa en nanopartículas de cobre que bloquean las proteínas funcionales del SARS-CoV-2, en especial la proteína spike?, que permite al virus infectar las células
“Esta nueva tecnología consiste en unas nanopartículas que interaccionan sobre las proteínas del coronavirus modificándolas a través de un mecanismo de oxidación y bloqueando su capacidad para infectar las células humanas”, explica el investigador José Miguel Palomo, que ha liderado el desarrollo, al frente del grupo de Química biológica y Biocatálisis del Instituto de Catálisis y Petroleoquímica del CSIC (ICP-CSIC).
Este nuevo material es muy eficiente inhibiendo las proteínas funcionales del SARS-CoV-2, especialmente la proteasa 3CLpro (que interviene en el proceso de replicación del virus) y la proteína spike (la que permite la entrada del virus en las células humanas), según ha demostrado el equipo de Palomo, en colaboración con los investigadores Olga Abian y Adrián Velázquez, del Instituto de Investigación Sanitaria de Aragón (IIS Aragón), Instituto Aragonés de Ciencias de la Salud (IACS) y la Universidad de Zaragoza.
“Estas nanopartículas de cobre están homogéneamente distribuidas embebidas sobre una matriz proteica, generando así un material biocompatible, que además permite mantener las nanoparticulas adheridas”, indica el investigador.
La elevada eficacia viricida de este nanomaterial se debe a que el componente activo son nanopartículas de cobre de muy pequeño tamaño, lo cual incrementa la eficiencia, y a que está formada por especies de cobre con un único estado de oxidación, lo cual permite obtener una alta actividad biológica, no observada hasta el momento con otros compuestos, según detallan los investigadores.
Los investigadores han confirmado que estos nanomateriales pueden ser empleados como aditivos de recubrimiento en diversas superficies. Este material ha sido probado para el recubrimiento de mascarillas quirúrgicas homologadas de polipropileno, o tela de algodón (batas). “Esto es de gran interés, ya que permitiría disponer de un nuevo tipo de mascarillas efectivas con inactivación directa frente al SARS-CoV-2, además de impedir la trasmisión por barrera mecánica (filtración), y además permitiría contar con agentes textiles de protección para uso hospitalario”, detallan los investigadores.
El nuevo material también se ha aplicado con éxito sobre materiales metálicos (acero y hierro), de forma que puede ser empleado como material para recubrimiento de superficies de contacto, tanto barandillas o pomos, para su uso por ejemplo en el sector del transporte público, indican los científicos.
Este nanomaterial, además, es extremadamente estable: conserva su estabilidad incluso a temperaturas muy elevadas (>80ºC), lo que asegura su utilización a temperaturas de hasta 50-60ºC con extrema fiabilidad (por ejemplo, en reutilización de mascarillas).
El cobre presenta ventajas frente a otros metales descritos como antimicrobianos como la plata, además de la obvia diferencia de precio; el cobre es más eficaz en un conjunto más amplio de condiciones e incluso se ve reforzado por condiciones que reducen la eficacia de la plata. Si bien la plata se comporta bien en condiciones cálidas y húmedas, su eficacia disminuye junto con la temperatura ambiente. El cobre, por otro lado, mantiene su eficacia en un rango de temperatura y humedad. Junto con esto la toxicidad de la plata es 65 veces mayor que la del cobre, según la Agencia de Protección Medioambiental (EPA).
“Estamos investigando el desarrollo del producto en el escalado y diversos estudios en los diferentes materiales que permitirían su implementación al mercado”, avanzan.




